Building up teeth with filling material
Humans have been filling teeth for thousands of years. Archaeologists have even found evidence of a tooth which had been filled some 17000 years ago! Modern filling materials are increasingly sophisticated and are able to be used in a range of situations.
The most common filling material used when building up teeth is known as composite resin. This is a material made of plastic and glass which sets under blue light. The material bonds to tooth enamel and can be used to build up entire teeth. 
Prior to the introduction of modern resin materials, traditional crowns or fillings held in with pins would be required. However:
- Crowns can be expensive, especially if you require many teeth repaired due to acid erosion or tooth grinding. 
- Crowns can be difficult to adjust if you’re trying to get used to a new bite position. 
- Materials such as silver amalgam do not bond to tooth and therefore may dislodge. 
- Pins in teeth can sometimes cause teeth to crack or split. 
Teeth built up with composite resin filling material:
- Can be a less expensive and less invasive option than traditional crowns and are a great option for younger people. 
- Look and feel just like natural teeth. 
- Can be completed in one appointment and can be used to repair broken teeth. 
- Can be used in complex cases where many teeth need to be built up. 
- If they do fail, they rarely take tooth fragments with them. 
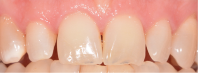
Here’s an example of a recent patient who had some whitening and a little tooth coloured filling material added to her teeth. This was to improve the shape her her lateral incisors and fix up wear to her central incisors. This was done in one appointment and no local anaesthetic was required.
BEFORE
AFTER
So next time you have a broken or cracked tooth, or if you’re interested in smile enhancement, speak to your dentist about composite resin filling material for a cost effective option for restoring your teeth.
Of course, filling material is not suitable for every situation. Your dental professional is trained in dental materials and can give you personalised advice on what treatment and material is right for your specific situation.
 
          
        
       
             
            